scorecardresearch
 
Advertisement
विश्व

वैज्ञानिकों ने किया कमाल! इंसान के शरीर में मिला नया अंग

Tubarial salivary glands
  • 1/5

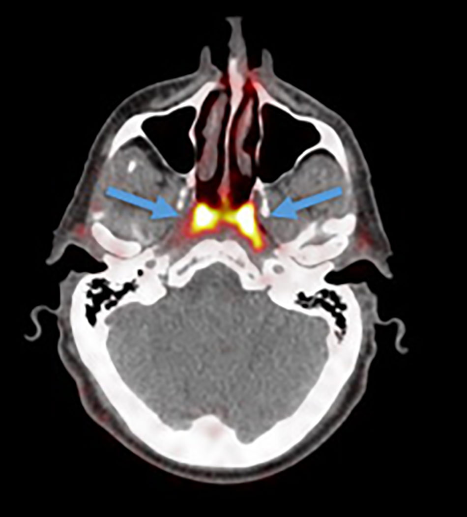
वैज्ञानिकों ने इंसानी शरीर में एक नए अंग का पता लगाया है. नीदरलैंड के वैज्ञानिक एक नए 'कैंसर स्कैन' की जांच कर रहे थे जब उन्हें गले में एक नए अंग का पता चला. रिसर्चर्स ने पाया कि इंसान के गले के ऊपरी हिस्से में ग्रन्थियों का एक ग्रुप है जिसके बारे में अब तक पता नहीं था. 

Tubarial salivary glands
  • 2/5

वैज्ञानिकों ने शरीर में पता चले इस नए अंग को Tubarial salivary glands नाम दिया है. वैज्ञानिकों का मानना है कि यह अंग नाक के लूब्रिकेशन में मदद करता है. 

Tubarial salivary glands
  • 3/5

Radiotherapy and Oncology जर्नल में प्रकाशित रिपोर्ट के मुताबिक, वैज्ञानिकों का कहना है कि अगर रेडिएशन ट्रीटमेंट के दौरान इन ग्रन्थियों को प्रभावित नहीं किया जाता है तो इससे लोगों को लाभ हो सकता है. 
 

Advertisement
Tubarial salivary glands
  • 4/5

नीदरलैंड के एम्सटर्डम के कैंसर इंस्टीट्यूट के वैज्ञानिक प्रोस्टेट कैंसर की जांच के लिए तैयार किए गए PSMA PET-CT नाम के स्कैन का परीक्षण कर रहे थे. इस दौरान डॉक्टर्स एक रेडियोएक्टिव ट्रेसर को मरीज के शरीर में इंजेक्ट करते हैं. रेडियोएक्टिव ट्रेसर की वजह से ही नए अंग का पता चला. 

Tubarial salivary glands
  • 5/5

वैज्ञानिकों का कहना है कि ग्रन्थियों के जिस समूह का पता चला है कि वह 1.5 इंच लंबा हैं. यह salivary glands की तरह ही है. स्टडी के दौरान जिन 100 मरीजों की जांच की गई, सभी में यह अंग मौजूद था. 

Advertisement
Advertisement