scorecardresearch
 
Advertisement
ट्रेंडिंग

चीन में शख्स के मलाशय से पेट तक चली गई मछली, डॉक्टर भी हो गए हैरान

चीन में शख्स के मलाशय से पेट तक चली गई मछली, डॉक्टर भी हो गए हैरान
  • 1/9
चीन में एक बेहद हैरान करने वाली घटना सामने आई है. एक शख्स के पीछे से एक मछली उसके पेट तक चली गई. काफी दर्द होने पर जब उसने डॉक्टर को दिखाया. बाद में डॉक्टरों ने ऑपरेशन कर मछली को बाहर निकाला. लेकिन तब तक इस शख्स की बड़ी आंत में काफी चोट लग चुकी थी.
चीन में शख्स के मलाशय से पेट तक चली गई मछली, डॉक्टर भी हो गए हैरान
  • 2/9
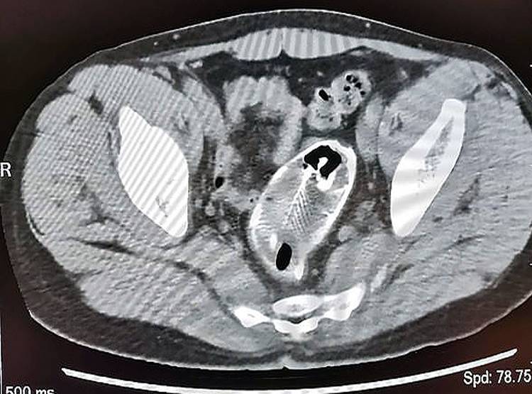
हुआ यूं कि चीन के गुआंगडोंग प्रांत के झाओक्विंग में एक 30 वर्षीय युवक ने बताया कि वह गलती से एक मछली के ऊपर बैठ गया. ये मछली उसे मलाशय (Rectum) से होते हुए पेट तक पहुंच गई. इस दौरान मछली ने बड़ी आंत में काफी घाव कर दिया. बड़ी आंत में फंसी मछली का एक्स-रे.
चीन में शख्स के मलाशय से पेट तक चली गई मछली, डॉक्टर भी हो गए हैरान
  • 3/9
जब उस युवक को पेट में दर्द होने लगा और वह खुद से मछली नहीं निकाल पाया तो वह झाओक्विंग फर्स्ट पीपुल्स अस्पताल पहुंचा. उसने डॉक्टरों को ये बात बताई कि वह गलती से मछली के ऊपर बैठ गया था. मछली गुदा द्वार से शरीर के अंदर पहुंच गई. बड़ी आंत में फंसी मछली का एक्स-रे.
Advertisement
चीन में शख्स के मलाशय से पेट तक चली गई मछली, डॉक्टर भी हो गए हैरान
  • 4/9
डेलीमेल वेबसाइट की खबर के अनुसार डॉक्टरों ने तत्काल एक्स-रे निकाला. उसमें मछली बड़ी आंत में फंसी हुई दिखाई दे रही थी. इसके बाद डॉक्टरों ने पहले तो युवक के मलाशय से मछली निकालने की कोशिश की लेकिन मछली काफी बड़ी थी, इसलिए पेट का ऑपरेशन किया गया.  
चीन में शख्स के मलाशय से पेट तक चली गई मछली, डॉक्टर भी हो गए हैरान
  • 5/9
मछली करीब 12 से 16 इंच लंबी थी. मछली जब निकाली गई है तो ऑपरेशन थियेटर दुर्गंध से भर गया था. मछली बाहर निकाली तो वह मर चुकी थी. हालांकि, अभी तक इस बात की जानकारी नहीं मिली है कि युवक की सेहत कितनी दुरुस्त है.
चीन में शख्स के मलाशय से पेट तक चली गई मछली, डॉक्टर भी हो गए हैरान
  • 6/9
उस शख्स के मलाशय से पेट तक जाने वाली ये एक ब्लू तिलापिया (Blue Tilapia) मछली थी. जिसके चीन में फार्म्स हैं. यहां लोग इन्हें पालते हैं. फिर इन्हें बेचते हैं. चीन समेत दुनिया के कई देशों में ब्लू तिलापिया को बेहद शौक से खाया जाता है. ये इतनी चिकनी होती है कि इसे हाथ से पकड़ना बेहद मुश्किल होता है.
चीन में शख्स के मलाशय से पेट तक चली गई मछली, डॉक्टर भी हो गए हैरान
  • 7/9
मिस्र की नील नदी में पाई जाने वाली ब्लू तिलापिया मछली की लंबाई 2 फीट तक हो सकती है. ये मछली अपने अंडों को मुंह में कई दिनों तक रखती है. किंगफिशर पक्षी और बाज समेत कई पक्षी भी इस मछली का शिकार करते हैं.
चीन में शख्स के मलाशय से पेट तक चली गई मछली, डॉक्टर भी हो गए हैरान
  • 8/9
केन्या में तिलापिया मछली का पालन इसलिए किया जाता है ताकि मच्छरों को मारा जा सके. ये मछलियां मच्छरों का लार्वा को खत्म कर देती है. इससे मच्छर मारे जाते हैं और मलेरिया का खतरा कम हो जाता है.
चीन में शख्स के मलाशय से पेट तक चली गई मछली, डॉक्टर भी हो गए हैरान
  • 9/9
ब्लू तिलापिया मछली को समुद्र का चिकन भी कहा जाता है. क्योंकि मछली बाजार में इसकी मांग वैसी ही है, जैसे दुनिया भर में चिकन की है. ये मछली गर्म पानी के स्रोतों में पलती है. ज्यादा ठंडा पानी ये बर्दाश्त नहीं कर पाती.
Advertisement
Advertisement
Advertisement