scorecardresearch
 
Advertisement
ट्रेंडिंग

कोरोना वायरस के लक्षणों को महज 30 सेकेंड में बता देती है ये टेक्नोलॉजी

दुनिया के 20 से अधिक देशों में हो रहा इस्तमाल.
  • 1/6

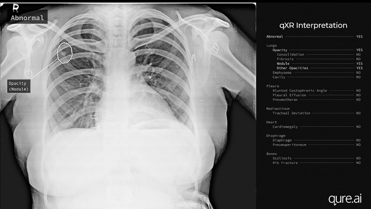
कोरोना को लेकर पूरी दुनिया में दहशत फैली हुई है. वैक्सीन आने का इंतजार किया जा रहा है. बड़ी चुनौती कोरोना की जांच करना भी है. ऐसे में राहत की खबर ये है कि झारखंड के कोडरमा निवासी एक युवक ने ऐसी आर्टिफिशियल इंटेलिजेंस (एआई) टेक्नोलॉजी खोजी है, जिससे महज 30 सेकेंड में छाती के एक्स-रे के सहारे कोरोना के लक्षणों का पता लगाया जा सकता है. (इनपुट- मृत्युंजय श्रीवास्तव)

झुमरीतिलैया के अंकित की टीम ने बनाया सॉफ्टवेयर.
  • 2/6

ये टेक्नोलॉजी टीबी के लक्षणों को पता करने के लिए तैयार की गई थी, लेकिन कोरोना को लेकर इसे और भी विकसित किया गया. कोडरमा जिले के झुमरीतिलैया के अड्डी बंगला रोड निवासी 28 वर्षीय अंकित मोदी मुंबई में एक कंपनी के सह संस्थापक हैं. उनकी कपंनी ने एक आर्टिफिशियल इंटेलिजेंस टेक्नोलॉजी खोजी है. यह मात्र एक मिनट में ब्रेन का सिटी स्कैन कर रिपोर्ट देने में सक्षम है. 

दुनिया के 20 से अधिक देशों में हो रहा इस्तमाल.
  • 3/6

खास बात ये है कि अंकित और उसके सहयोगियों द्वारा बनाये गये इस साॅफ्टवेयर में रेडियोलॉजिस्ट की जरूरत नहीं पड़ती है. इस साॅफ्टवेयर का प्रयोग अमेरिका, इंग्लैंड, फ्रांस, इटली समेत दुनिया के 20 से भी अधिक देशों में किया जा रहा है. अंकित के पिता जितेंद्र कुमार अरुण व्यवसायी हैं.  अंकित और उनके सहयोगियों द्वारा तैयार किये गये इस सॉफ्टवेयर की कहानी पिछले दिनों अमेरिका के प्रसिद्ध अखबार न्यूयॉर्क टाइम्स में प्रकाशित हुई थी. 

Advertisement
झुमरीतिलैया के अंकित की टीम ने बनाया सॉफ्टवेयर.
  • 4/6

जिन हॉस्पिटलों में एक्स-रे की रिपोर्ट आने में पहले कई दिन और सप्ताह लग जाते थे, अब वहां इस सॉफ्टेवयर की मदद से वही रिपोर्ट मिनटों में बन रही है. जो डॉक्टर पहले दिन में 25 से 30 एक्स-रे देख पाते थे, अब वो एक दिन में 100 से भी ज्यादा एक्स-रे देख पा रहे हैं. कई ऐसे भी केस सामने आए हैं, जहां बीमारी के बहुत ही सूक्ष्म लक्षण एक्स-रे में मौजूद थे, जो कि आंखों से पकड़ पाना मुश्किल होता था, ऐसे मामलों को डॉक्टर इस टेक्नोलॉजी की मदद से आसानी से पकड़ पाए हैं. 

दुनिया के 20 से अधिक देशों में हो रहा इस्तमाल.
  • 5/6

अंकित मोदी ने बताया कि जिन सुदूर गांवों और कस्बों में एक्स-रे की सुविधा तो है पर उन्हें देखने वाले रेडियोलाजिस्ट की कमी है, वहां ये तकनीकि रेडियोलाजिस्ट की कमी को पूरा करने में बेहद कारगर सिद्ध हुई है. उन्होंने बताया कि इसकी एक बानगी झारखण्ड में सिमडेगा के शान्तिभवन मेडिकल सेंटर में देखने को मिलती है. 

दुनिया के 20 से अधिक देशों में हो रहा इस्तमाल.
  • 6/6

अंकित ने अमेरिका से मिले बेहतर जॉब को ठुकराकर भारत में ही रह कर विश्वस्तरीय टेक्नोलॉजी विकसित करने का निश्चय किया.अंकित  मोदी ने IIT कानपुर से 2015 में कम्प्यूटर साइंस में B.Tech एवं M.Tech किया है. उन्होंने 2016 में अपने 6 साथियों के साथ मिल कर एक कंपनी की स्थापना की, जहां उन्होंने बतौर रिसर्च साइंटिस्ट, एक्स-रे के लिए आर्टिफिशियल इंटेलिजेंस टेक्नोलॉजी विकसित करना शुरू किया था. IIT Delhi के छात्र प्रशांत वारियर इस कंपनी सीईओ हैं. डॉ. पूजा राव रिसर्च टीम की निदेशक हैं. अंकित इस समय कंपनी में प्रोडक्ट मैनेजर के तौर पर कार्यरत हैं.

Advertisement
Advertisement