scorecardresearch
 
Advertisement
टेक न्यूज़

कोरोना है या नहीं? ये जानने के लिए इस नंबर पर WhatsApp करें X-ray रिपोर्ट

Xray-Setu
  • 1/6

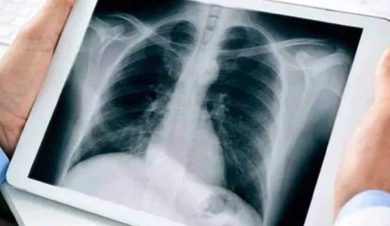
कोरोना बीमारी का पता लगाने का एक तरीका Chest X-ray भी है. Chest X-ray को देखकर डॉक्टर कोरोना के बारे में पता कर सकते हैं. इसको लेकर अब AI-driven प्लेटफॉर्म बनाया गया है. इससे Chest X-ray रिपोर्ट को बस WhatsApp पर सेंड करना है और कुछ मिनट्स में रिपोर्ट आ जाती है.

Xray-Setu
  • 2/6

इसका नाम XraySetu दिया गया है. ये लॉ रेज्योलूशन वाले इमेज के लिए भी आसानी से काम करता है. इसका यूज ग्रामीण इलाकों में काफी हो सकता है जहां हेल्थ केयर फैसिलिटी कम होती है. इसके साथ दूसरे टेस्ट कराने की भी सलाह दी जाती है क्योंकि कुछ वेरिएंट्स के लिए RT-PCR टेस्ट भी नेगेटिव रिजल्ट दिखाता है. 

Xray-Setu
  • 3/6

PIB की ओर से एक प्रेस रिलीज जारी करके इसके बारे में जानकारी दी गई. ARTPARK (AI & Robotics Technology Park) ने भारत सरकार के डिपार्टमेंट ऑफ साइंस (DST), बेंगलुरु बेस्ड हेल्थ टेक स्टार्टअप Niramai और इंडियन इंस्टीट्यूट ऑफ साइंस के साथ मिलकर (IISc) XraySetu को डेवलप किया है. इससे कोरोना संक्रमित के बारे में वॉट्सऐप पर भेजे Chest X-Ray फोटो से पता लगाया जा सकता है. 
 

Advertisement
Xray-Setu
  • 4/6

इसको यूज करने के लिए डॉक्टर को बस www.xraysetu.com वेबसाइट पर जाना है. वेबसाइट पर Try the Free X-raySetu Beta बटन पर क्लिक करना होगा. इसके बाद यहां से दूसरे पेज पर ले जाया जाएगा. यहां पर डॉक्टर WhatsApp चैटबोट से वेब या स्मार्टफोन ऐप पर बात कर सकते हैं. 
 

Xray-Setu
  • 5/6

डॉक्टर सीधे +91 8046163838 नंबर पर वॉट्सऐप करके XraySetu सर्विस को स्टार्ट कर सकते हैं. इसके लिए उन्हें पेशेंट के X-Ray का फोटो सेंड करना होगा. कुछ ही मिनट्स में 2 पेज का रिपोर्ट वॉट्सऐप पर आ जाएगा. अगर कोरोना के कोई लक्षण दिखते हैं तो रिपोर्ट में इस बात का भी जिक्र किया जाएगा कि तुरंत डॉक्टर की सलाह लें. 
 

Xray
  • 6/6

इसकी मदद से देश के दूर-दराज इलाकों में अभी तक 1200 से ज्यादा रिपोर्ट्स दिए जा चुके हैं. इससे COVID-19 के अलावा लंग्स से जुड़ी दूसरे बीमारियों के बारे में भी पता लगाया जा सकता है.  

Advertisement
Advertisement