
क्या आपने कभी सुना है कि बिना कुछ खाए पिए अचानक किसी अच्छे खासे इंसान के गले के अंदर सांस की नली फट गई हो? नहीं सुना होगा क्योंकि ये बिल्कुल आम नहीं है. लेकिन हाल में एक ऐसा मामला सामने आया है और ये विश्व का पहला मामला है. BMJ Journals में छपे इस मामले में ये अपनी तरह की पहली ऐसी इंजरी है.
कहते हैं न कि प्राकृतिक चीजों जैसे खांसी, उल्टी, मल, पेशाब आदि को रोकना नहीं चाहिए. ये सेहत के लिए जानलेवा हो सकता है. एक शख्स के साथ भी कुछ ऐसा ही हुए. यह घटना तब घटी जब वह आदमी अपनी कार चला रहा था और अचानक उसे छींक आ गई. लेकिन उसने छींकने की जगह अपनी नाक भींच ली और अपना मुंह बंद कर लिया.
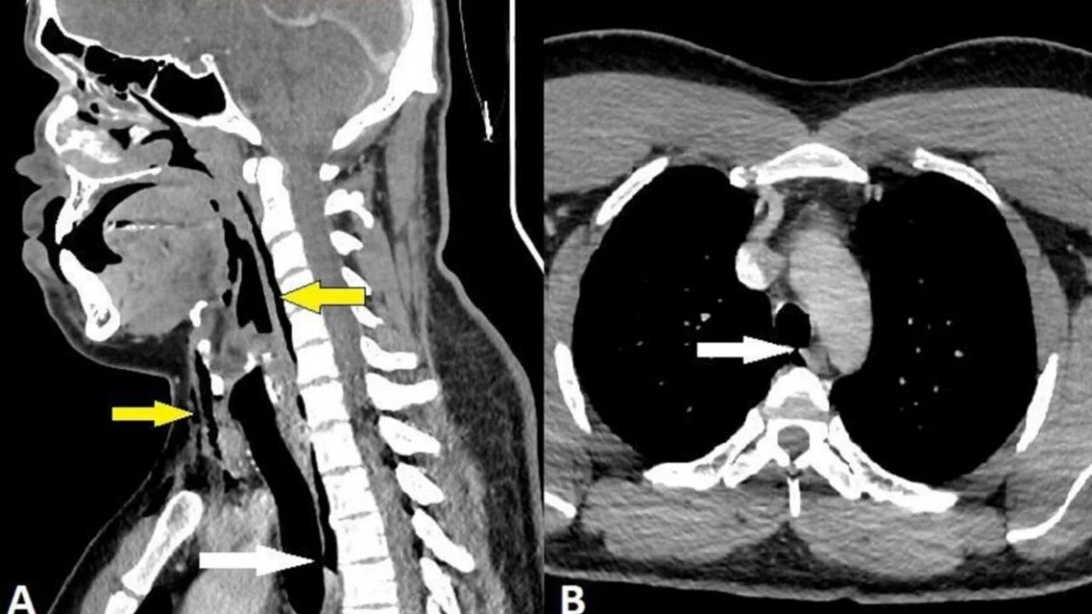
उसकी ये बेतुकी कोशिश और बेवकूफी उसे भारी पड़ी , क्योंकि छींक को रोकने से उसकी सांस की नली में दो बाई दो मिलीमीटर का एक छोटा सा छेद हो गया.छींक रोकने से गले के अंदर पड़ा प्रेशर इसका कारण बना. जब वह व्यक्ति अजीब हालत में अस्पताल पहुंचा तो उसकी गर्दन के दोनों किनारे पहले से ही सूज गए थे जिससे उसे बुरा दर्द हो रहा था. हालांकि वह अब भी बिना किसी समस्या के सांस ले सकता था, खाना निगल सकता था और बात कर सकता था.

एक्स-रे कराने के बाद पता चला कि उस आदमी को सर्जिकल एमफीसेमा नामक एक बीमारी थी, जहां हवा किसी के शरीर के सबसे गहरे टिशूज के नीचे फंस सकती है.छींक रोकने पर हवा उस आदमी की गर्दन में कशेरुकाओं के साथ-साथ उसकी छाती और फेफड़ों के बीच की जगह में फंस गई थी.अंततः, डॉक्टरों ने यह समझा उस उसको सर्जरी की जरूरत नहीं है.
उन्हें दो दिनों के लिए अस्पताल में रखा गया था और आखिर में पेनकिलर देकर छुट्टी दे दी गई. उसे दो सप्ताह तक किसी भी भारी काम से बचने की सलाह दी गई है.इस घटना पर एक स्टडी को बीएमजे जर्नल्स में प्रकाशित किया गया है.