
10 साल के एक बच्चे ने अपने प्राइवेट पार्ट में कपड़े सिलने वाली सुई फंसा ली. यह घटना ईरान की है जहां बच्चे ने अपने प्राइवेट पार्ट में 9 सेंटीमीटर लंबी सुई फंसा ली, इसके बाद उसे फौरन अस्पताल ले जाना पड़ा. तीन घंटे की कड़ी मशक्कत के बाद डॉक्टर सुई को बाहर निकालने में कामयाब हुए.
बच्चे का इलाज करने वाले डॉक्टर्स ने बताया कि उसने सुई को प्राइवेट पार्ट में अंदर की तरफ धकेल दिया था. यह विशेष रूप से यूरीन और सीमेन का मार्ग होता है. हालांकि डॉक्टर अभी तक यह पता नहीं लगा पाएं हैं कि बच्चे ने ऐसा क्यों किया था. फिर भी इसे कई संभावित पहलुओं से जोड़कर देखा जा रहा है. इस घटना के पीछे डॉक्टर्स जिज्ञासा, प्लैजर या फिर साइकोलॉजिल एपिसोड को वजह मान रहे हैं. हालांकि उन्होंने यह भी कहा कि बच्चे की दिमागी हालत बिल्कुल ठीक है और उसे पहले भी कोई मेंटल डिसॉर्डर नहीं हुआ है.
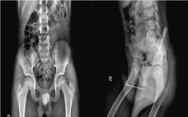
यूरोलॉजी केस रिपोर्ट्स के जर्नल में प्रकाशित यह घटना बेहद दुर्लभ है. एक्स-रे रिपोर्ट से पता चलता है कि 87mm की नुकीली सुई अंदर ऐसी स्थिति में थी जिसे सामान्य तरीकों से बाहर निकाल पाना असंभव था. इसलिए डॉक्टर ने पहले उसे इफेक्टेड एरिया में एनेस्थेटिक इंजेक्शन दिया और फिर सुई को बाहर निकालने का प्रयास शुरू किया गया. रिपोर्ट के मुताबिक, डॉक्टर्स ने सुई के चौड़े सिरे को दबाकर नुकीले हिस्से को स्किन में प्रवेश कराया और फिर उसे बाहर निकाला.

बच्चे का इलाज करने वाले शाहिद सदौघी यूनिवर्सिटी के प्रमुख यूरोलॉजिस्ट सेराजॉडिन वहिदी ने कहा, 'प्राइवेट पार्ट में फंसे किसी नुकीले ऑब्जेक्ट को इस तरह बाहर निकालने में पहली बार कामयाबी मिली है. आमतौर पर डॉक्टर ऐसी घटनाओं में प्राइवेट पार्ट के टिप एरिया से फंसी हुई चीजों को बाहर निकालने की कोशिश करते हैं.'
बच्चे का इलाज करने वाले डॉक्टर को यह भी डर था कि कहीं इलाज के बच्चे बच्चे के प्राइवेट पार्ट का कोई हिस्सा डैमेज ना हो जाए. हालांकि इलाज के कई दिन बाद भी बच्चे को यूरीनेट में किसी प्रकार की दिक्कत नहीं है. डॉक्टर्स ने बताया कि बच्चे को कोई स्थायी क्षति नहीं हुई है.
बता दें कि कुछ दिन पहले भी ऐसी एक घटना सामने आई थी जहां 15 साल के बच्चे ने अपने प्राइवेट पार्ट में यूएसबी केबल फंसा लिया था. यूएसबी केबल फंसने के बाद बच्चे ने उसे निकालने का भरपूर प्रयास किया, लेकिन परिणाम ये हुआ कि उसे पेशाब के रास्ते बहुत ज्यादा खून आने लगा. ये देखकर परिजन घबरा गए और वो तुरंत उसे अस्पताल लेकर भागे और तब डॉक्टर के कड़े प्रयास के बाद केबल बाहर निकाली गई.