scorecardresearch
 
Advertisement
लाइफस्टाइल

कोरोना वायरस से मरने वालों का क्या हुआ था हाल, देख लें ये रिपोर्ट्स

कोरोना वायरस से मरने वालों का क्या हुआ था हाल, देख लें ये रिपोर्ट्स
  • 1/10
कोरोना वायरस अब तक लगभग 100 से भी ज्यादा देशों में फैल चुका है. चीन में अब तक 80,000 से ज्यादा लोग इस जानलेवा वायरस का शिकार हो चुके हैं. वहीं, करीब 5,000 लोगों की मौत हो चुकी हैं. कोरोना वायरस इंसान को मौत के दरवाजे तक ले जाने से पहले उसके फेफड़ों को कितनी बुरी तरह खराब करता है. इसका एक नमूना हाल ही में देखने को मिला है.
कोरोना वायरस से मरने वालों का क्या हुआ था हाल, देख लें ये रिपोर्ट्स
  • 2/10
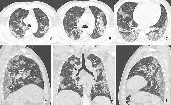
चीन में एक 44 वर्षीय महिला की मौत कोरोना वायरस की वजह से हुई थी. महिला की मौत के बाद जब उसके शरीर का एक्स-रे और सीटी स्कैन किया गया तो दिल दहला देने वाली तस्वीरें सामने आईं.

PHOTO: RSNA
कोरोना वायरस से मरने वालों का क्या हुआ था हाल, देख लें ये रिपोर्ट्स
  • 3/10
महिला के शरीर की स्कैन रिपोर्ट रेडियोलॉजिस्ट सोसायटी ऑफ नॉर्थ अमेरिका ने जारी की है. तस्वीरें देखकर ये साफ अंदाजा लगाया जा सकता है कि कोरोना वायरस इंसान के फेफड़ों को कैसे खराब करता है.

PHOTO: RSNA
Advertisement
कोरोना वायरस से मरने वालों का क्या हुआ था हाल, देख लें ये रिपोर्ट्स
  • 4/10
फेफड़ों में नीचे की तरफ कॉर्नर में सफेद धब्बे नजर आ रहे हैं. रेडियोलॉजिस्ट की भाषा में इस हिस्से को ग्राउंड ग्लास ओपासिटी कहते हैं, जो इंसान को सांस भरने में मदद करता है.

PHOTO: RSNA
कोरोना वायरस से मरने वालों का क्या हुआ था हाल, देख लें ये रिपोर्ट्स
  • 5/10
फेफड़ों की पहली पिक्चर (ए) और आखिरी पिक्चर (एफ) में आप आसानी से अंतर देख सकते हैं. सफेद रंग के ये धब्बे असल में बलगम है जो फेफड़ों में हवा की जगह भर जाता है. इसके बाद इंसान को सांस लेने में दिक्कत होने लगती है.

PHOTO: RSNA
कोरोना वायरस से मरने वालों का क्या हुआ था हाल, देख लें ये रिपोर्ट्स
  • 6/10
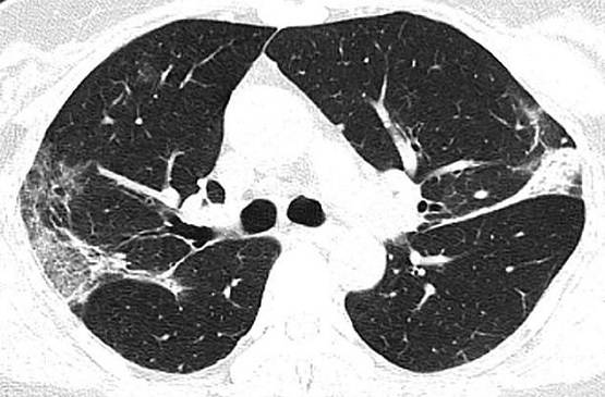
ये दूसरी तस्वीर 54 वर्षीय एक अन्य महिला की है. यहां भी तस्वीरें लगभग वैसी ही कहानी बयां कर रही हैं. यह महिला चीन के सिचुआन प्रांत की रहने वाली हैं.

PHOTO: RSNA
कोरोना वायरस से मरने वालों का क्या हुआ था हाल, देख लें ये रिपोर्ट्स
  • 7/10
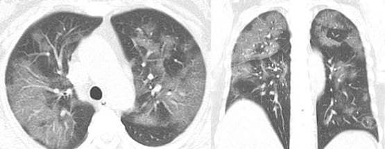
हेल्थ एक्स्पर्ट्स का कहना है कि कोरोना वायरस से फेफड़ों में पड़ने वाले सफेद धब्बे बिल्कुल वैसे ही हैं जैसे SARS और MERS से पीड़ित रोगियों के शरीर में दिखाई दिए थे.
कोरोना वायरस से मरने वालों का क्या हुआ था हाल, देख लें ये रिपोर्ट्स
  • 8/10
साल नवंबर 2002 से 2003 तक SARS ने करीब 8,000 लोगों को अपना शिकार बनाया था जिसें से 774 की मौत हो गई थी.
कोरोना वायरस से मरने वालों का क्या हुआ था हाल, देख लें ये रिपोर्ट्स
  • 9/10
बता दें कि कोरोना वायरस के लक्षण आमतौर पर होने वाले सर्दी-जुकाम जैसे ही हैं. इसमें रोगी को जुकाम के साथ-साथ तेज बुखार भी रहता है.
Advertisement
कोरोना वायरस से मरने वालों का क्या हुआ था हाल, देख लें ये रिपोर्ट्स
  • 10/10
कोरोना वायरस का शिकार वो लोग जल्दी होते हैं जिनका इम्यून सिस्टम दुरुस्त नहीं है. शायद इसी वजह से कोरोना वायरस के कारण मरने वालों में बुजुर्गों की संख्या ज्यादा है.
Advertisement
Advertisement