scorecardresearch
 
Advertisement
कोरोना

कोटा: कोरोना स्ट्रेन का भयानक रूप: 24 घंटे में महिला के फेफड़े खराब, एक्सरे देख डॉक्टर हैरान

24 घंटे में 32 साल की महिला के फेफड़े खराब
  • 1/5

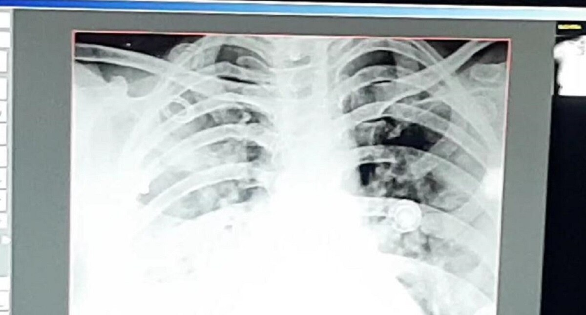
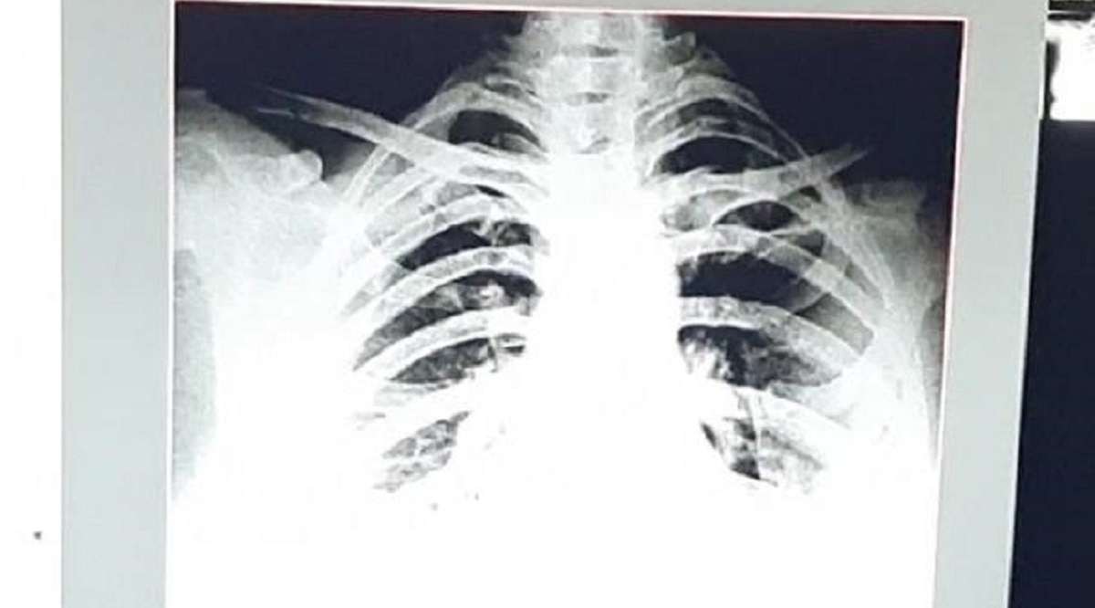
कोरोना वायरस की दूसरी लहर ने तहलका मचा दिया है. इसी बीच राजस्थान के कोटा शहर से एक ऐसा भयानक मामला सामने आया है, जहां 24 घंटे में 32 साल की एक महिला के दोनों फेफड़े खराब हो गए. इसकी तस्वीरें भी सामने आई हैं. 

24 घंटे में 32 साल की महिला के फेफड़े खराब
  • 2/5

दरअसल, यह मामला कोटा का है, यहां एक 32 साल की महिला का 9 तारीख को एक्स-रे कराया तो वह ठीक थी, 12 तारीख तक भी वह महिला ठीक थी. बीपी, ऑक्सीजन लेवल, एक्स रे सब ठीक था. इसके बाद 12 तारीख की रात को घबराहट महसूस हुई.

24 घंटे में 32 साल की महिला के फेफड़े खराब
  • 3/5

महिला 13 तारीख को खड़ी भी नहीं हो पा रही थी, सांस लेने में दिक्कत हुई तो चेक करने के बाद पता चला कि ऑक्सीजन लेवल 94 था. 13 तारीख को सिटी स्कैन करवाया तो उसके दोनों लंग्स में 80 परसेंट तक इंफेक्शन फैल चुका था. 

Advertisement
24 घंटे में 32 साल की महिला के फेफड़े खराब
  • 4/5

यह देखकर कोटा के सांस रोग विशेषज्ञ डॉक्टर के के डंग भी चकित रह गए कि मात्र 24 घंटे में लंग्स इतने खराब कैसे हो सकते हैं. उन्होंने इंदौर के विशेषज्ञ डॉक्टर से परामर्श किया. उन्होंने बताया कि यह नया स्ट्रेन है उसी की वजह से ऐसा हुआ है. 

24 घंटे में 32 साल की महिला के फेफड़े खराब
  • 5/5

डॉक्टर का कहना है कि यह नया स्ट्रेन तेजी से फैला रहा है, यह युवाओं में भी बहुत तेजी से लंग्स इन्फेक्शन फैला रहा है. हमें इस केस से सबक लेना चाहिए और लक्षण दिखते ही जांच करानी चाहिए, क्योंकि कोरोना अब समय नहीं दे रहा है. बीपी ऑक्सीजन लेवल एक्स रे सब ठीक होने के बावजूद भी एकदम लंग्स में इंफेक्शन हो सकता है.

Advertisement
Advertisement