scorecardresearch
 
Advertisement
ट्रेंडिंग

अधपकी मछली खाना शख्स को पड़ा भारी, लीवर में इल्ली ने दे दिए अंडे

अधपकी मछली खाना शख्स को पड़ा भारी, लीवर में इल्ली ने दे दिए अंडे
  • 1/7
कोरोना का कहर जारी है. पूरी दुनिया में इस बात पर बहस छिड़ी हुई है कि चीन के वुहान शहर से निकला ये वायरस कब और कैसे खत्म होगा. चीन में खानपान को लेकर भी इसी दौरान बहस छिड़ी रही. इसी बीच एक ऐसा मामला सामने आया है जहां एक चीनी शख्स को आधी पकी मछली खाना महंगा पड़ गया.
अधपकी मछली खाना शख्स को पड़ा भारी, लीवर में इल्ली ने दे दिए अंडे
  • 2/7
न्यूयॉर्क पोस्ट की एक रिपोर्ट के मुताबिक चीन के हांगझू के रहने वाले 55 साल के शख्स ने आधी पकी हुई मछली की एक डिश खाई थी. जिसके बाद से पेट में दर्द, उल्टी, पेचिश, थकान और भूख न लगने जैसे लक्षण लगातार रहने लगे. इन लक्षणों से यह व्यक्ति 4 महीनों से परेशान था और लगातार इलाज करवा रहा था.
अधपकी मछली खाना शख्स को पड़ा भारी, लीवर में इल्ली ने दे दिए अंडे
  • 3/7
जब इस बीमारी को डॉक्टर दवाओं के द्वारा नहीं ठीक कर पाए, तो उन्होंने व्यक्ति का स्कैन किया. इस स्कैन में जो दिखा, वो देखकर डॉक्टर्स भी चौंक गए. शख्स को क्लोनोरकायसिस नामक एक इंफेक्शन हुआ था, जिसका कारण पैरासाइट (एक प्रकार की इल्ली) होता है, जिसे फ्लैटवॉर्म कहते हैं.
Advertisement
अधपकी मछली खाना शख्स को पड़ा भारी, लीवर में इल्ली ने दे दिए अंडे
  • 4/7
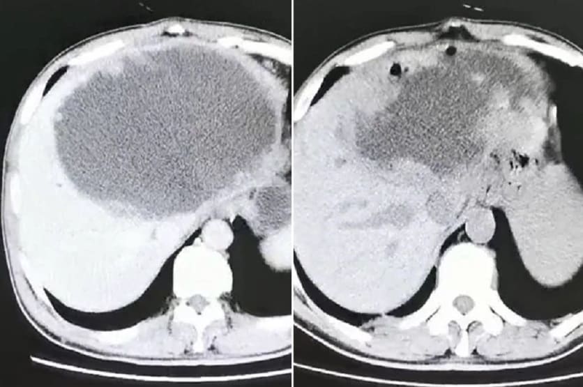
ये पैरासाइट वॉर्म उसके अंदर चला गया और फिर इस पैरासिटिक वॉर्म ने इस शख्स के लीवर में अंडे देने शुरू कर दिए. और यही धीरे-धीरे लीवर की बाईं ओर एक मवाद से भरी थैली का कारण बन गया. साथ ही डॉक्टरों को कई ट्यूमर भी मिले जो इस थैली के बाहर बढ़ने लगे थे.
अधपकी मछली खाना शख्स को पड़ा भारी, लीवर में इल्ली ने दे दिए अंडे
  • 5/7
रिपोर्ट के मुताबिक डॉक्टरों ने बताया कि प्रभावित हिस्सा 19 सेन्टीमीटर लंबा, 18 सेन्टीमीटर चौड़ा और 12 सेन्टीमीटर गहरा था. इस समस्या के साथ ही मवाद के कारण लीवर की दीवारों पर छोटे-छोटे ट्यूमर उभरने लगे थे.
अधपकी मछली खाना शख्स को पड़ा भारी, लीवर में इल्ली ने दे दिए अंडे
  • 6/7
अंत में डॉक्टरों ने ऑपरेशन के जरिए युवक के लीवर में भरा हुआ मवाद निकाला. कुछ समय बाद दोबारा स्कैन करने पर सूजन और ट्यूमर की शिकायत बनी रही तो युवक के लीवर को काटने का फैसला किया गया. शख्स के लीवर के डेड टिशूज में अनगिनत छोटे-छोटे अंडे पाए गए थे.
अधपकी मछली खाना शख्स को पड़ा भारी, लीवर में इल्ली ने दे दिए अंडे
  • 7/7
फिलहाल शख्स डॉक्टरों की निगरानी में है. डॉक्टरों का कहना है कि ये बेहद खतरनाक स्थिति थी. इसमें मरीज की जान भी जा सकती थी क्योंकि वे सभी अंडे शख्स के अंदर जाने के बाद उसके लीवर में फूटे थे जो मवाद में तब्दील हो गए थे.
Advertisement
Advertisement