scorecardresearch
 
Advertisement
ट्रेंडिंग

कोरोना वायरस की असली तस्वीर देखी! माइक्रोमीटर का है 1000वां हिस्सा

आपने देखी कोरोना वायरस की असली तस्वीर, माइक्रोमीटर का है 1000वां हिस्सा
  • 1/5
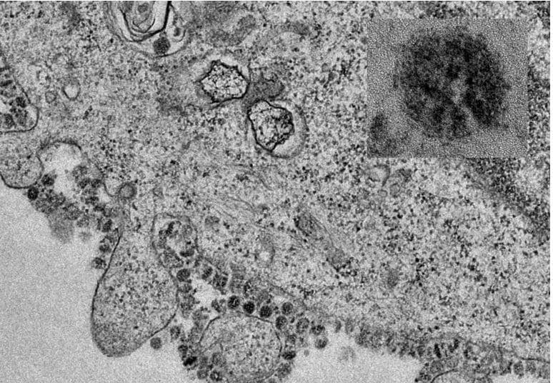
कोरोना वायरस ने चीन में कहर मचा रखा है और अब तक इस खतरनाक वायरस ने वहां तीन सौ से ज्यादा लोगों की जान ले ली है जबकि कई लोगों की हालत गंभीर है. पूरी दुनिया इस वायरस से डरी हुई है और वैज्ञानिक दिन-रात इसके वैक्सीन की खोज में डूबे हुए हैं. अब माइक्रोस्कोप के जरिए बेहद खतरनाक कोरोना वायरस की असली तस्वीर भी दुनिया के सामने आ गई है जो लोगों को चौंका रही है.

आपने देखी कोरोना वायरस की असली तस्वीर, माइक्रोमीटर का है 1000वां हिस्सा
  • 2/5
माइक्रोस्कोप के जरिए कोरोना वायरस की जो तस्वीर सामने आई है, उसमें यह वायरस एक मिलीमीटर के एक लाखवें हिस्से के छोटे टुकड़े में विभाजित करना होगा, ताकि इसे मापा जा सके.
आपने देखी कोरोना वायरस की असली तस्वीर, माइक्रोमीटर का है 1000वां हिस्सा
  • 3/5
शोधकर्ताओं ने हाल ही में कोरोना वायरस (2019-nCoV) से चीन में सैकड़ों मौत होने के बाद इस जानलेवा वायरस को लेकर माइक्रोस्कोप से ली गई तस्वीरें जारी की हैं. इस वायरस ने पूरे महाद्वीप को अपनी चपेट में ले लिया है और कई अंतर्राष्ट्रीय संस्थाओं ने इसे सार्वजनिक स्वास्थ्य के लिए आपातकाल घोषित किया है.
Advertisement
आपने देखी कोरोना वायरस की असली तस्वीर, माइक्रोमीटर का है 1000वां हिस्सा
  • 4/5
हांगकांग यूनिवर्सिटी के एलकेएस फैकल्ट ऑफ मेडिसिन ने इस जानलेवा और खतरनाक वायरस के तस्वीर की कॉपी जारी की है. इस वायरस का आकार माइक्रोमीटर में है जो एक मिलीमीटर का हजारवां हिस्सा है. वायरस 20 नैनोमीटर के बीच व्यास में होते हैं. एक नैनोमीटर एक माइक्रोमीटर का एक हजारवां हिस्सा है.
आपने देखी कोरोना वायरस की असली तस्वीर, माइक्रोमीटर का है 1000वां हिस्सा
  • 5/5
बता दें कि इस बीमारी से लड़ने के लिए एक महिला साइंटिस्ट दिन रात काम कर रही हैं. स्कॉटलैंड की रहने वाली केट ब्रोडरिक कोरोना वायरस से बचाव के लिए वैक्सीन का आविष्कार करने की कोशिश कर रही हैं. द टाइम्स की रिपोर्ट के मुताबिक, ब्रोडरिक रातों में सिर्फ 2 घंटे सो रही हैं.
Advertisement
Advertisement