scorecardresearch
 
Advertisement
ट्रेंडिंग

कोरोना अटैक के बाद ऐसे हो जाते हैं फेफड़े, देखें चौंकाने वाली तस्वीर

कोरोना अटैक के बाद ऐसे हो जाते हैं फेफड़े, सामने आई चौंकाने वाली तस्वीर
  • 1/10
जानलेवा कोरोना वायरस के खौफ की चपेट में पूरी दुनिया आ चुकी है. अब तक सिर्फ चीन में ही मौत का आंकड़ा 1300 के पार पहुंच गया है. पूरी दुनिया में करीब 45,000 लोग इस वायरस की चपेट में आ चुके हैं. इसी बीच कोरोना संक्रमित लोगों के फेफड़े की कुछ X-Ray फोटोज सामने आई हैं. 
कोरोना अटैक के बाद ऐसे हो जाते हैं फेफड़े, सामने आई चौंकाने वाली तस्वीर
  • 2/10
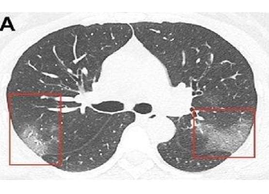
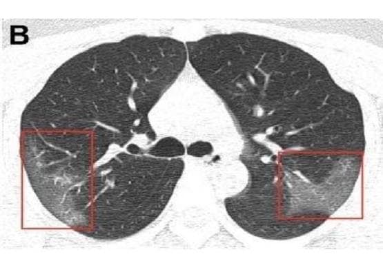
दरअसल, चीन के लंझाऊ स्थित एक अस्पताल में कोरोना वायरस संक्रमित 33 वर्षीय एक मरीज के सीने का X-Ray लिया गया. इसके बाद चौंकाने वाली तस्वीरें सामने आई. उन्होंने देखा कि सार्स की ही तरह कोरोना वायरस के भी लक्षण दिखाई दिए हैं. (Photo: Journal of Radiology)
कोरोना अटैक के बाद ऐसे हो जाते हैं फेफड़े, सामने आई चौंकाने वाली तस्वीर
  • 3/10
जर्नल ऑफ रेडियोलॉजी के अनुसार डॉक्टरों द्वारा दिखाई गई  X-Ray रिपोर्ट में  फेफड़े के निचले हिस्से में कुछ दाग नजर आए. डॉक्टर्स ने इसे ground glass opacity बताया है. 
(Photo: Journal of Radiology)
Advertisement
कोरोना अटैक के बाद ऐसे हो जाते हैं फेफड़े, सामने आई चौंकाने वाली तस्वीर
  • 4/10
रेडियोलॉजिस्ट ने बताया कि जब उन धब्बों को ज़ूम कर देखा गया तो वे किसी शीशे के टुकड़ों की तरह नजर आए. ये साबित करते हैं कि वहां कुछ तरल पदार्थ इकठ्ठा हो गया है.
कोरोना अटैक के बाद ऐसे हो जाते हैं फेफड़े, सामने आई चौंकाने वाली तस्वीर
  • 5/10
रिपोर्ट में एक चौंकाने वाली बात यह भी सामने आई कि भले ही निमोनिया और कोरोनावायरस के लक्षण एक जैसे दिखते हों लेकिन निमोनिया की तुलना में कोरोना बेहद तेजी से फैलता है और इस पर एंटीबायोटिक भी बेअसर साबित हो रहे हैं.
कोरोना अटैक के बाद ऐसे हो जाते हैं फेफड़े, सामने आई चौंकाने वाली तस्वीर
  • 6/10
30 सेकंड में कैसे खत्म होगा कोरोना वायरस: 
इसी बीच जर्मनी के रूह्र यूनिवर्सिटी  और ग्रीफ्सवॉल्ड यूनिवर्सिटी ने वैज्ञानिकों ने मिलकर कोरोनावायरस पर एक स्टडी की है. इन्होंने अब तक कोरोना वायरस पर हुए दो दर्जन अध्ययनों को भी पढ़ा. फिर उन्होंने पता किया कि कोरोनावायरस को कैसे खत्म कर सकते हैं. कैसे उसे मार सकते हैं. (फोटोः पीटीआई)
कोरोना अटैक के बाद ऐसे हो जाते हैं फेफड़े, सामने आई चौंकाने वाली तस्वीर
  • 7/10
जर्मनी के वैज्ञानिकों के अध्ययन के अनुसार कोरोनावायरस को जिस तरीके खत्म किया जा सकता है उसमें सबसे प्रमुख है खुद का बचाव. कोरोनावायरस को डिसइंफेक्टेंट की मदद से खत्म किया जा सकता है.
कोरोना अटैक के बाद ऐसे हो जाते हैं फेफड़े, सामने आई चौंकाने वाली तस्वीर
  • 8/10
इस अध्ययन में बताया गया है कि कोरोनावायरस 30 डिग्री सेल्सियस या इससे ज्यादा तापमान में असहज हो जाता है. जैसे-जैसे तापमान बढ़ता है वायरस निष्क्रिय होता चला जाता है. यानी 30 डिग्री सेल्सियस तापमान या उससे ज्यादा होने पर कोरोना की ताकत कम होने लगती है. (फोटोः पीटीआई)
कोरोना अटैक के बाद ऐसे हो जाते हैं फेफड़े, सामने आई चौंकाने वाली तस्वीर
  • 9/10
वायरस को डिसइंफेक्टेंट की मदद से खत्म किया जा सकता है. अल्कोहल से कोरोनावायरस को एक मिनट में खत्म किया जा सकता है. जबकि, ब्लीच की मदद से इसे मात्र 30 सेकंड में खत्म कर सकते हैं. (Photo: PTI)
Advertisement
कोरोना अटैक के बाद ऐसे हो जाते हैं फेफड़े, सामने आई चौंकाने वाली तस्वीर
  • 10/10
जर्मनी के वैज्ञानिकों के अनुसार कोरोनावायरस बाकी फ्लू वायरस की तुलना में करीब चार गुना ज्यादा समय तक जिंदा रहता है. साधारण फ्लू के वायरस 2-3 दिन जिंदा रहते हैं. लेकिन कोरोनावायरस उनसे चार गुना ज्यादा जिंदा रह सकता है.
Advertisement
Advertisement