scorecardresearch
 
Advertisement
लाइफस्टाइल

वैज्ञानिक का दावा- नहीं छिप सकेगा कोरोना, चुटकी में पकड़ेगा सॉफ्टवेयर

वैज्ञानिक का दावा- नहीं छिप सकेगा कोरोना, चुटकी में पकड़ेगा सॉफ्टवेयर
  • 1/9
पूरी दुनिया में तबाही मचाने वाले कोरोना वायरस के सबसे ज्यादा मामले अमेरिका में सामने आए हैं. यहां अब तक तकरीब साढ़े पांच लाख लोग कोविड-19 पॉजिटिव पाए जा चुके हैं, जबकि 22,000 से ज्यादा लोगों की मौत हो चुकी है. इस जानलेवा वायरस से निपटने के यूएस के हेल्थकेयर ऑफिशियल्स दिन-रात मेहनत कर रहे हैं.
वैज्ञानिक का दावा- नहीं छिप सकेगा कोरोना, चुटकी में पकड़ेगा सॉफ्टवेयर
  • 2/9
इस समस्या से निजात दिलाने के लिए अमेरिका के एक वैज्ञानिक ने दावा किया है कि उसने एक ऐसे सॉफ्टवेयर कोड का आविष्कार किया है जो महज कुछ सेकेंड के अंदर शरीर में मौजूद वायरस का पता लगा सकता है.
वैज्ञानिक का दावा- नहीं छिप सकेगा कोरोना, चुटकी में पकड़ेगा सॉफ्टवेयर
  • 3/9
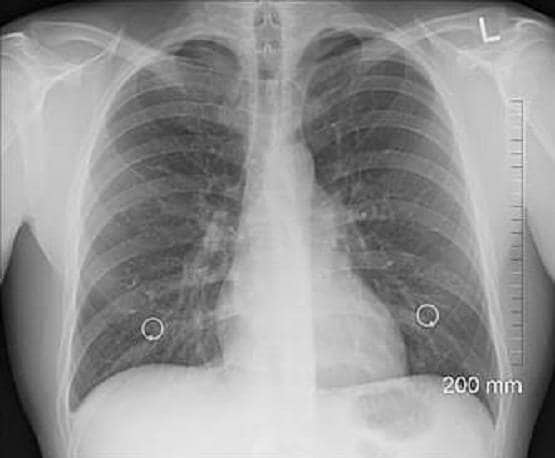
यूनिवर्सिटी ऑफ डेटॉन रिसर्च इंस्टिट्यूट के एक वैज्ञानिक बराथ नारायणन का कहना है कि उनका यह सॉफ्टवेयर  कोड इंसान की चेस्ट को स्कैन कर शरीर में छिपे वायरस का पता लगा सकता है.

Picture: University of Dayton Research Institute
Advertisement
वैज्ञानिक का दावा- नहीं छिप सकेगा कोरोना, चुटकी में पकड़ेगा सॉफ्टवेयर
  • 4/9
इतना ही नहीं, नारायणन का यह भी कहना है कि शरीर में छिपे वायरस के बारे में यह सॉफ्टवेयर 98 प्रतिशत तक सही चीजें बताने में सक्षम है. उन्होंने डेली मेल को एक ई-मेल कर इसका दावा किया है.

Picture: University of Dayton Research Institute
वैज्ञानिक का दावा- नहीं छिप सकेगा कोरोना, चुटकी में पकड़ेगा सॉफ्टवेयर
  • 5/9
नारायणन का कहना है कि यह विशेष सॉफ्टवेयरस सामान्य एक्स-रे स्कैनिंग मशीन से एकदम अलग है. इसे आर्टिफिशियल इंटेलिजेंस (एआई) तकनीक से जोड़ा गया है जिसका रिजल्ट 98 से 99 प्रतिशत तक सही हो सकता है.


Picture: University of Dayton Research Institute
वैज्ञानिक का दावा- नहीं छिप सकेगा कोरोना, चुटकी में पकड़ेगा सॉफ्टवेयर
  • 6/9
बता दें कि नारायणन पिछले काफी समय से आर्टिफिशियल इंटेलिजेंस तकनीक पर काम कर रहे हैं, ताकि डॉक्टर्स ज्यादा तेजी से मरीज की बीमारी को पहचानकर उनका इलाज कर सकें.
वैज्ञानिक का दावा- नहीं छिप सकेगा कोरोना, चुटकी में पकड़ेगा सॉफ्टवेयर
  • 7/9
इससे पहले उन्होंने ब्रेस्ट कैंसर, मलेरिया, ब्रेन ट्यूमर, ट्यूबरक्लोसिस, डायबिटीज और निमोनिया जैसी बीमारियों का तेजी से पता करने के लिए सॉफ्टवेयर कोड्स इजाद किए हैं.
वैज्ञानिक का दावा- नहीं छिप सकेगा कोरोना, चुटकी में पकड़ेगा सॉफ्टवेयर
  • 8/9
कोरोना वायरस के मामले पूरी दुनिया में बढ़कर अब साढ़े 18 लाख के पार पहुंच चुके हैं, जबकि इससे मरने वालों की तादाद एक लाख के पार हो चुकी है.
वैज्ञानिक का दावा- नहीं छिप सकेगा कोरोना, चुटकी में पकड़ेगा सॉफ्टवेयर
  • 9/9
भारत में भी यह रोग तेजी से पैर फैला रहा है. यहां अब तक 9,000 से ज्यादा मामले सामने आए हैं, जिनमें से 300 से ज्यादा की मौत हो चुकी है.

Advertisement
Advertisement
Advertisement